Alunos de Biomedicina e Radiologia realizam prática sobre sistema urinário e reprodutor
Acadêmicos dos cursos EAD de Biomedicina e Radiologia da UNIASSELVI Polo Indaial – Vitória Régia realizaram mais uma aula prática envolvendo a disciplina de Anatomorfofisiologia do Sistema Digestório, Endócrino, Urinário e Reprodutor, acompanhados pela tutora Nathielli Nayara Pauleti.
A atividade tinha como objetivos reconhecer os órgãos integrantes do sistema urinário; identificar os tecidos dos órgãos que compõe o sistema urinário; diferenciar tecidos em corte histológico de acordo com sua formação; identificar os órgãos componentes integrantes do sistema reprodutor masculino e feminino; observar estruturas teciduais dos órgãos reprodutores; e visualizar células importantes dos sistemas reprodutores.
Para isso, a aula foi dividida em dois momentos: identificação das estruturas nas peças anatômicas e, em seguida, identificação dos órgãos nas lâminas histológicas. A aula teve início no laboratório de anatomia. Com auxílio do material didático teórico, os alunos deveriam identificar as peças anatômicas referentes ao sistema urinário e, posteriormente, aos sistemas reprodutores (masculino e feminino) nos modelos anatômicos em 3D.
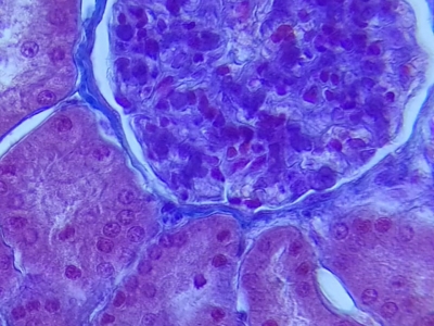
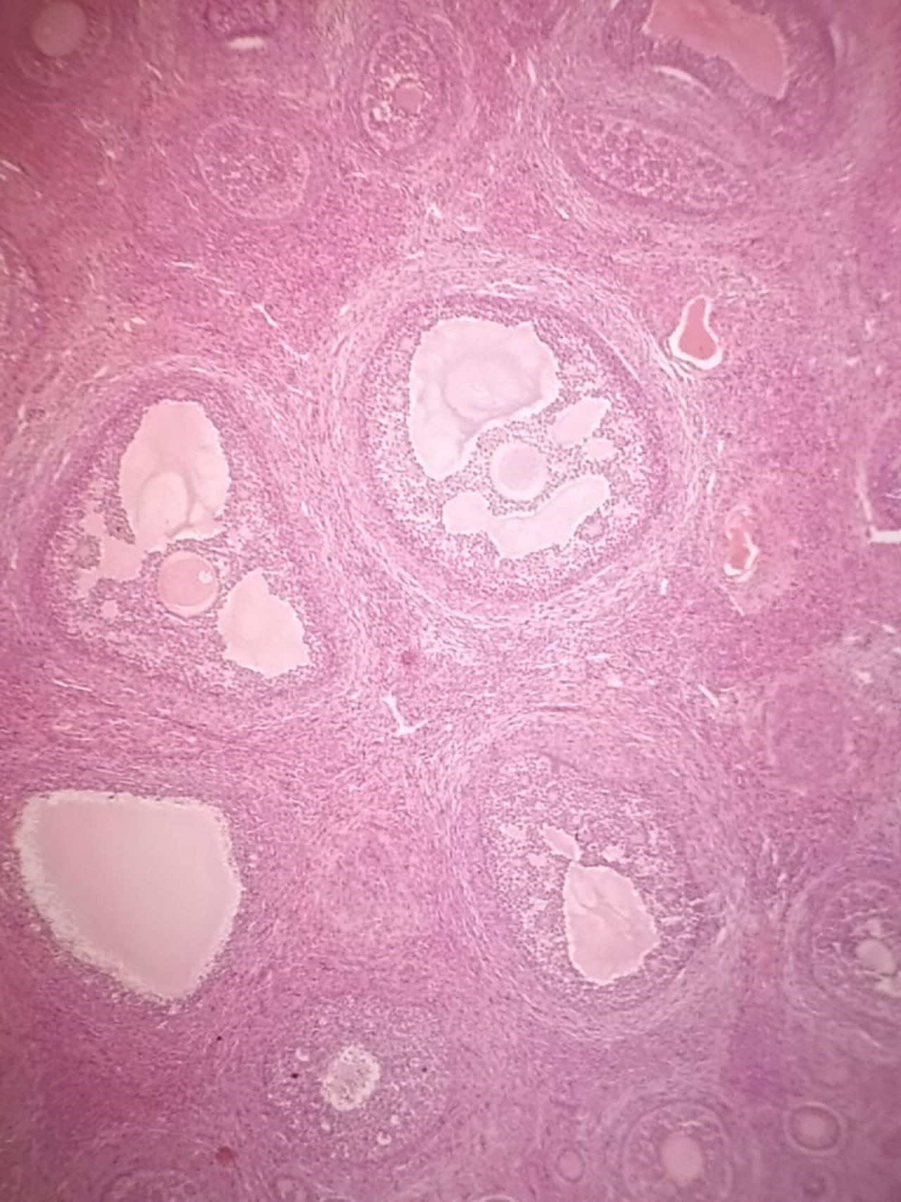
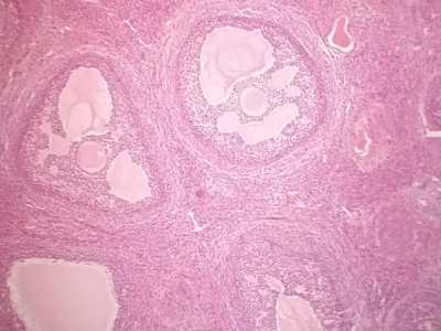
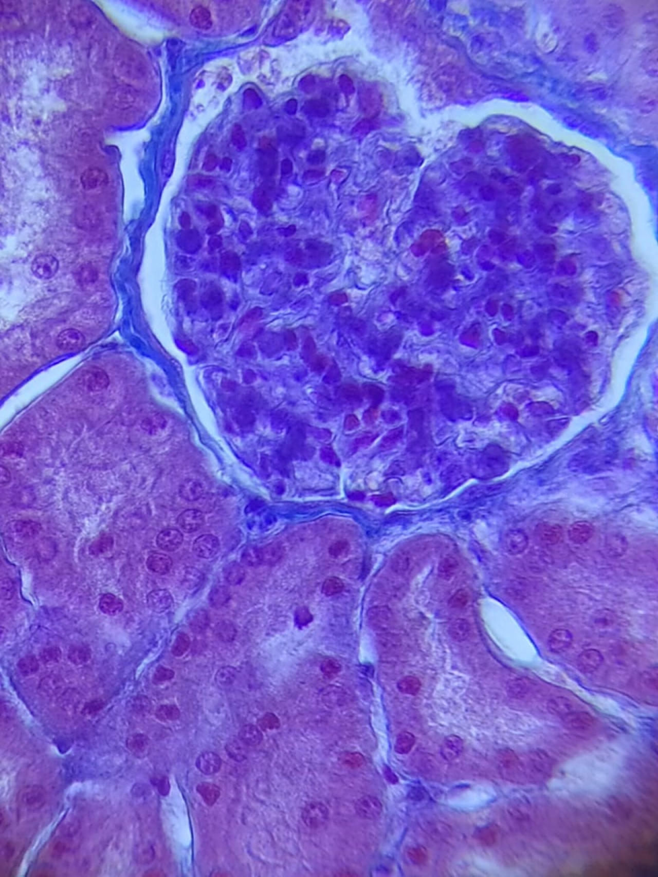
Em seguida, no laboratório de Microscopia, os alunos observaram três lâminas histológicas selecionadas para representação de cada sistema: lâmina de rim para representar o sistema urinário, lâmina de testículo para representar o sistema reprodutor masculino e uma lâmina de ovário para representar o sistema reprodutor feminino. Eles deveriam identificar as células e estruturas que compõe os órgãos apontados.
Quer saber mais sobre o curso de Biomedicina? Clique aqui. Para saber mais sobre a graduação em Radiologia, clique aqui.